A doença de Huntington (DH), previamente conhecida como Coreia de Huntington, é uma doença neurodegenerativa, sendo a causa mais comum de coreia hereditária no mundo. Mas vamos logo falar o que é isso. Antes, vamos a um pequeno histórico da doença.
Em 1872, um médico inglês, pertencente a uma longa família de médicos, George Huntingon, descreveu a doença que leva seu nome como um misto de coreia (movimento involuntário aleatório, sem padrão algum, que pode acometer um ou mais membros do corpo, cabeça e língua) e alteração mental.
Suas características patológicas, ou seja, o que pode ver no cérebro de um paciente com a doença, só foram descritas a partir de 1896, e inclusove o famoso médico Alois Alzheimer contribuiu para essa definição. Já o gene responsável (sim, a DH é causada pela mutação de um único gene) foi descoberto em 1983.
Para quem gosta de história da medicina, sugiro o livro The Woman Who Walked Into The Sea, escrito por uma familiar de um paciente com DH, e que conta não somente a história da doença, mas os avanços nas pesquisas em relação à sua cura. Também, há 3 meses, saiu um suplemento da famosa revista Movement Disorders, e que traz artigo relacionados a novidades a respeito das causas e possibilidades de tratamento da doença.
Bem, vamos à doença:
A DH é uma doença de caráter hereditário, cuja idade de instalação é variada, mas com média de 40 anos (há relatos de início desde os 2 anos aos 80 anos de idade), e que se manfesta como coreia, geralmente generalizada, alterações de cognição e de comportamento, podendo haver depressão associada.
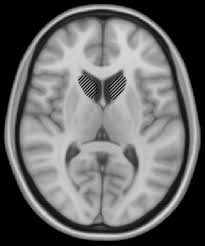
A caractetrística patológica mais marcante é a degeneração do núcleo caudato, uma estrutura que fica no centro do cérebro (veja abaixo).
![]() |
| http://upload.wikimedia.org/wikipedia/commons/c/c3/Caudate_nucleus.png |
| https://encrypted-tbn2.gstatic.com/images?q=tbn:ANd9GcRPXDQsErfSfLCYtPA-_OdO4Ih2ZANgMMteaxQLR3DzzO1Sr2zl |
Em um espécimen patológico (cérebro), o núcleo caudato aparece assim:
![]() |
| http://library.med.utah.edu/WebPath/jpeg5/CNS263.jpg |
O núcleo caudato é essa massa que faz pressão sobre a área aberta do cérebro, o ventrículo lateral. Compare com o cérebro de um paciente com DH:
![]() |
| http://neuropathology-web.org/chapter9/images9/9-HD.jpg |
Uma imagem vale mais do que mil palavras.
Voltando.
A coreia pode ser o primeiro sintoma, e é geralmente o que mais chama a atenção no diagnóstico do paciente. Lentidão, contrações involuntárias (distonia) e mesmo sinais de parkinsonismo (rigidez, lentidão) podem aparecer. Quedas são comuns, especialmente nos casos mais graves e avançados.
As formas em pacientes jovens são caracterizadas mais por um quadro parkinsoniano, ou seja, tremor de repouso, rigidez e lentidão, havendo também as alterações mentais e de comportamento. Epilepsia pode acontecer nesses casos.
Nos casos mais avançados, a coreia começa a diminuir, e aparecem contrações musculares sustentadas e mantidas, as distonias.
Algo interessante é a perda de peso que os pacientes sforem, muitos emagrecendo bastante. Os estudos sugerem que os pacientes com DH têm gastos de energia em repouso maiores do que pacientes sem a doença, o que parece aumentar com a duração da doença.
Sintomas psíquicos ocorrem frequentemente. Depressão é a manifestação mais comum, podendo estar acompanhada de irritabilidade e surtos de agressividade. Apatia e alterações de personalidade podem ocorrer.
O declínio das funções mentais (demência) ocorre em todos os pacientes, mais ou menos intenso que o quadro motor.
A doença e causada por uma mutação de um gene no cromossomo 4, mas não acomete todos os filhos de um paciente com a doença. O gene normal produz uma proteína chamada huntingtina (HTT). O gene é formado por repetições de três nucleotídeos (as proteínas que formam o DNA) (ou seja, um trinucleotídeo) que se repetem normalmente em até 35 repetições. São estes a Citosina, a Adenina e a Guanina (CAG). Em pacientes com a DH, esdtas repetições se acumulam em números acima de 35 (geralmente ocorre em pacientes com repetições acima de 39).
Mas o que leva à doença a partir dessa alteração genética não é conhecido. Sabe-se que ocorre uma degeneração de alguns núcleos cerebrais, especialmente o comentado acima, o caudato. Parece haver também uma disfunção do metabolismo da célula neuronal, ou seja, uma dificuldade em gerar energia para a célula. Várias são as vias que estão com alteração na DH, e vários são os estudos que estão em andamento testando a modificação em várias dessas vias para melhorar a doença.
A DH é rara, ocorrendo em 2,71 pessoas por 100,000 pessoas no mundo, sendo rara no Japão e na China, e mais comum em pessoas de ascendência europeia.
O diagnóstico é clínico, e depende de exames para afastar outras causas de coreia com alteração mental. A existência de história familiar auxilia no diagnóstico da doença, mas nem sempre há história familiar positiva. Há várias outras doenças que causam sintomas semelhantes aos da DH, e entre elas, as doenças de Huntington-like, ou seja, doenças que se parecem com a DH, mas cujo teste genético é negativo. Falaremos sobre essas doenças em outro post.
Há várias doenças clínicas que podem causar coreia, mas em geral, estas têm evolução mais rápida ou seja, são doenças que aparecem rapidamente, em questão de semanas (a DH se desenvolve em anos). Hipertiroidismo, a famosa coreia de Sydenham em crianças (relacionada à febre reumática), uso de algumas medicações, esclerose múltipla, raramente derrames, e outras doenças podem causar coreia e simular a DH, mas nestes casos, a história de uma evolução rápida, a presença de outros sinais e sintomas, e exames que comprovem outra causa para a coreia, acabam por ajudar o médico a fazer o diagnóstico correto. O diagnóstico correto depende do conhecimento médico, de uma boa história clínica e de um exame neurológico adequado.
Testes genéticos devem ser realizados somente por orientação médica.
Com relação ao tratamento, isso deve ser discutido em consulta presencial com o neurologista.
Mas o que leva à doença a partir dessa alteração genética não é conhecido. Sabe-se que ocorre uma degeneração de alguns núcleos cerebrais, especialmente o comentado acima, o caudato. Parece haver também uma disfunção do metabolismo da célula neuronal, ou seja, uma dificuldade em gerar energia para a célula. Várias são as vias que estão com alteração na DH, e vários são os estudos que estão em andamento testando a modificação em várias dessas vias para melhorar a doença.
A DH é rara, ocorrendo em 2,71 pessoas por 100,000 pessoas no mundo, sendo rara no Japão e na China, e mais comum em pessoas de ascendência europeia.
O diagnóstico é clínico, e depende de exames para afastar outras causas de coreia com alteração mental. A existência de história familiar auxilia no diagnóstico da doença, mas nem sempre há história familiar positiva. Há várias outras doenças que causam sintomas semelhantes aos da DH, e entre elas, as doenças de Huntington-like, ou seja, doenças que se parecem com a DH, mas cujo teste genético é negativo. Falaremos sobre essas doenças em outro post.
Há várias doenças clínicas que podem causar coreia, mas em geral, estas têm evolução mais rápida ou seja, são doenças que aparecem rapidamente, em questão de semanas (a DH se desenvolve em anos). Hipertiroidismo, a famosa coreia de Sydenham em crianças (relacionada à febre reumática), uso de algumas medicações, esclerose múltipla, raramente derrames, e outras doenças podem causar coreia e simular a DH, mas nestes casos, a história de uma evolução rápida, a presença de outros sinais e sintomas, e exames que comprovem outra causa para a coreia, acabam por ajudar o médico a fazer o diagnóstico correto. O diagnóstico correto depende do conhecimento médico, de uma boa história clínica e de um exame neurológico adequado.
Testes genéticos devem ser realizados somente por orientação médica.
Com relação ao tratamento, isso deve ser discutido em consulta presencial com o neurologista.



Nenhum comentário:
Postar um comentário
Comente na minha página do Facebook - Dr Flávio Sekeff Sallem,
Médico Neurologista